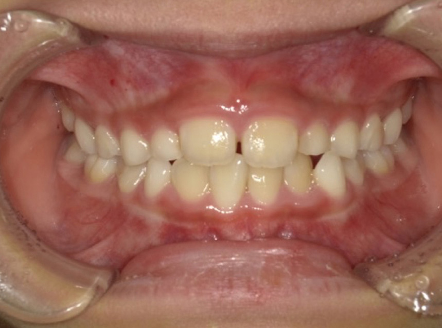
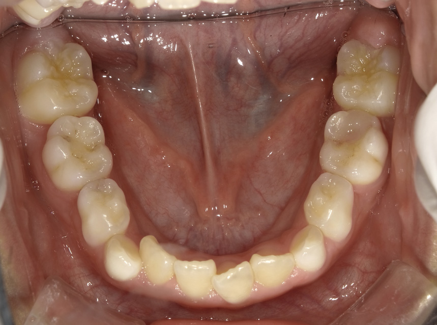
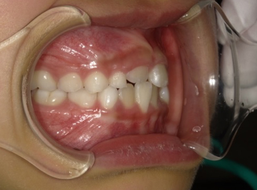
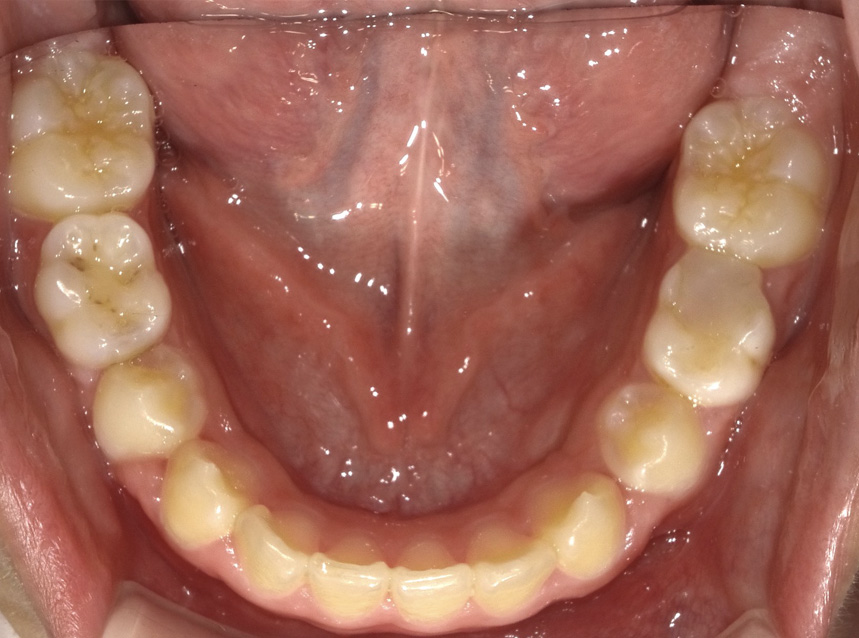
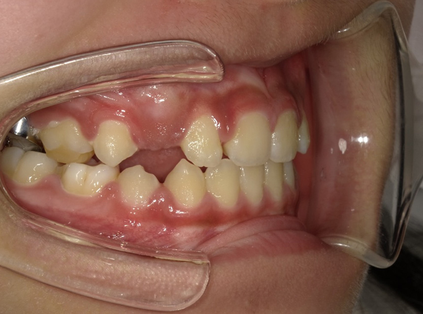
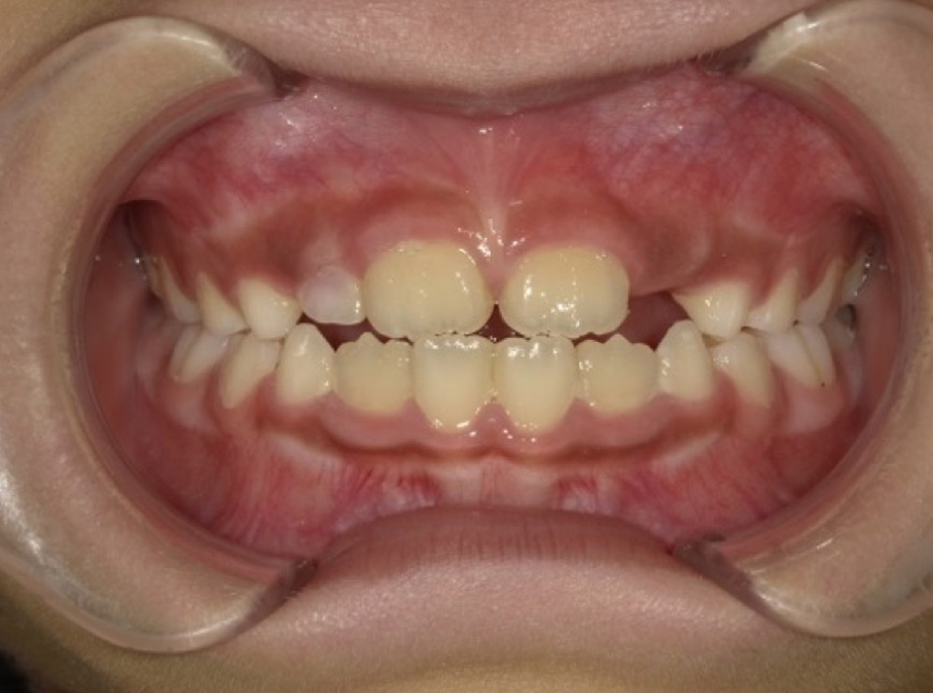
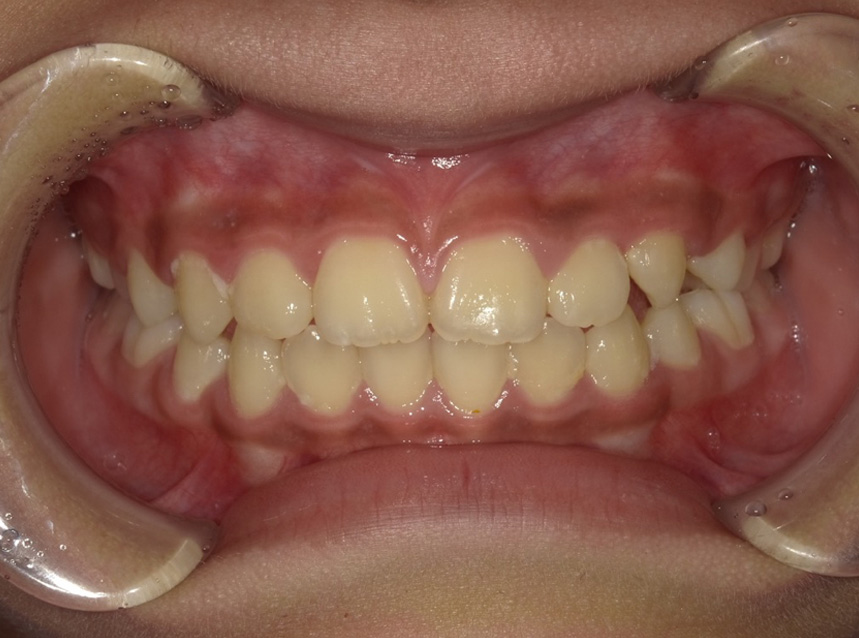
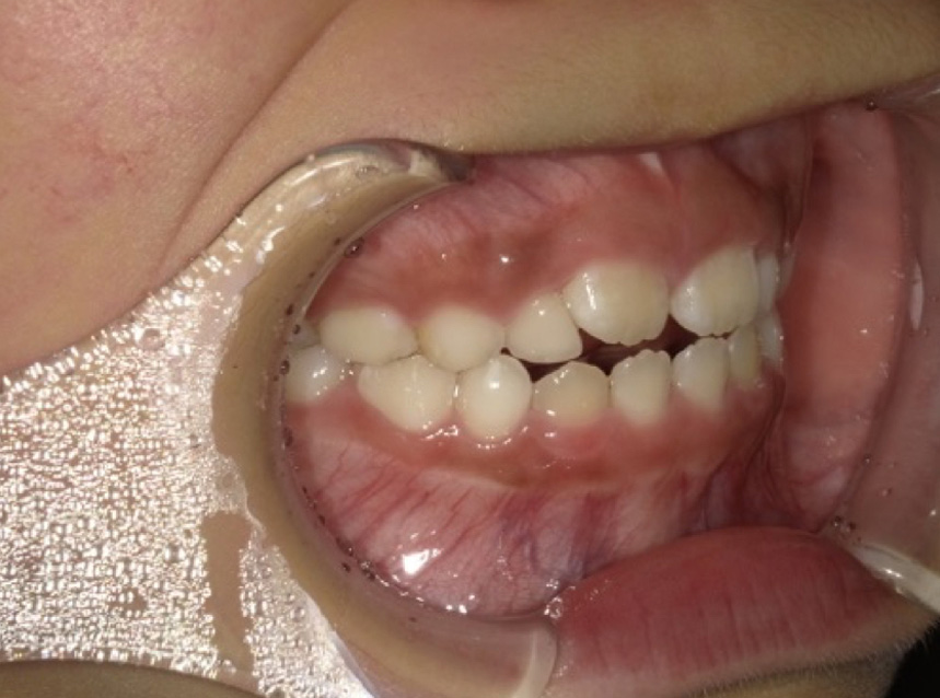
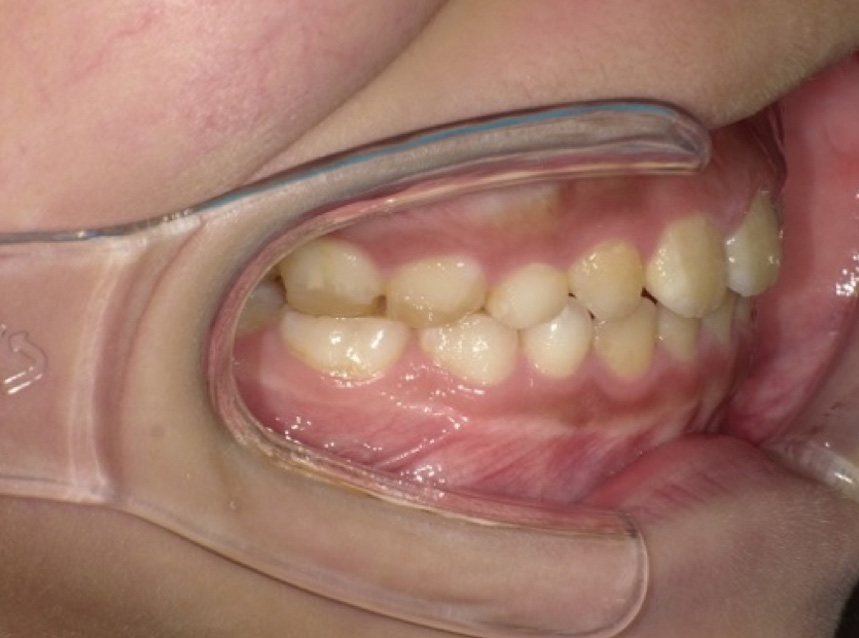
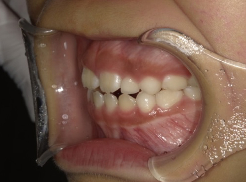
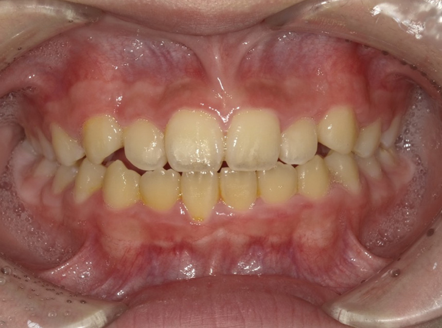
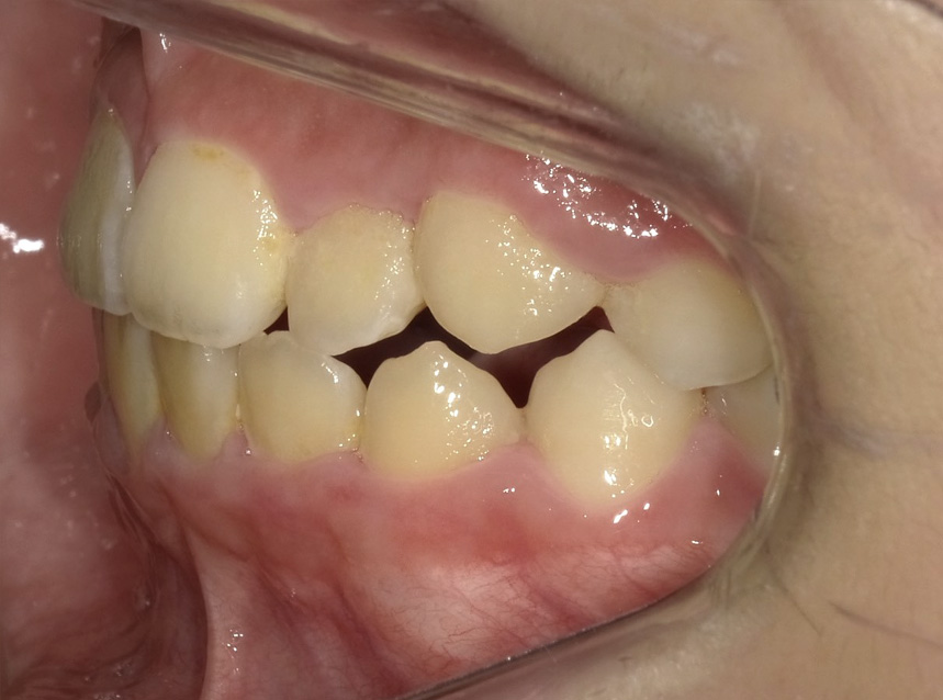
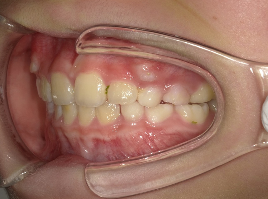
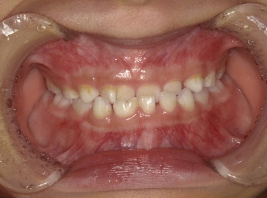
①8歳 女の子下の歯がガタガタで気になる

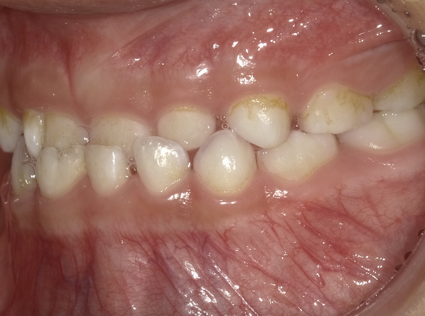
Before

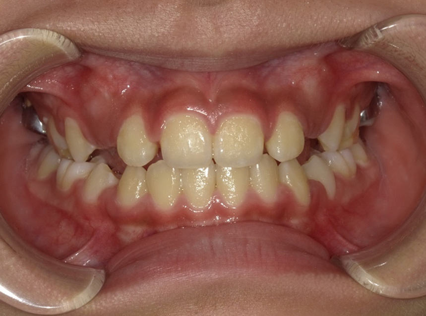
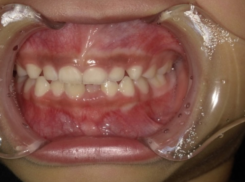
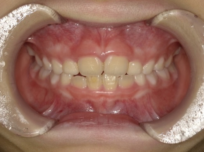
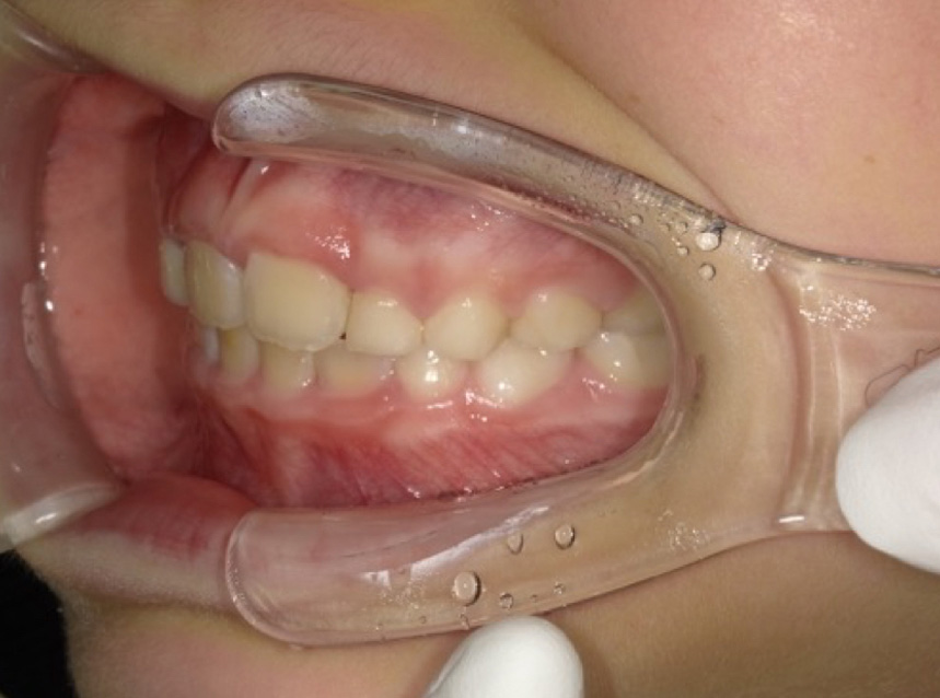
1年1ヶ月後

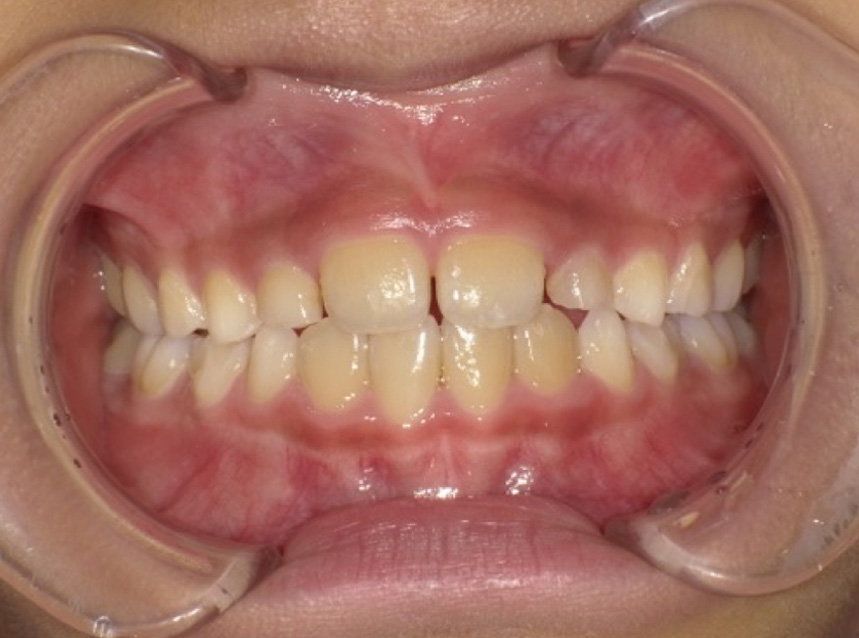
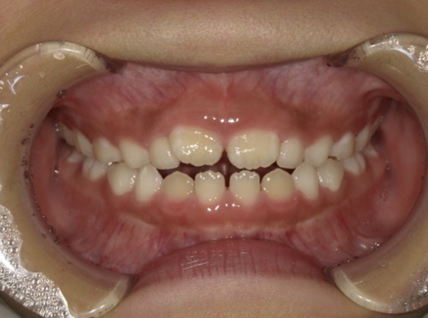
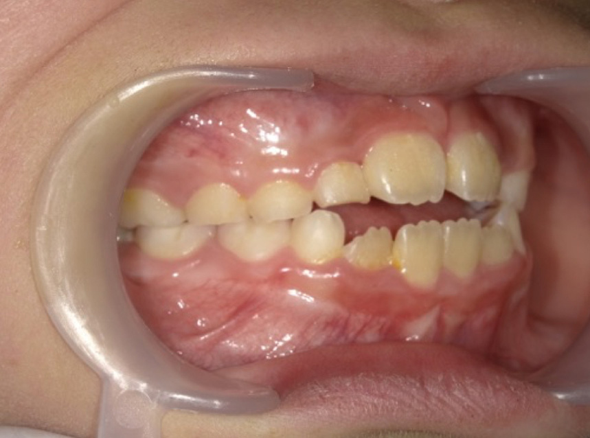
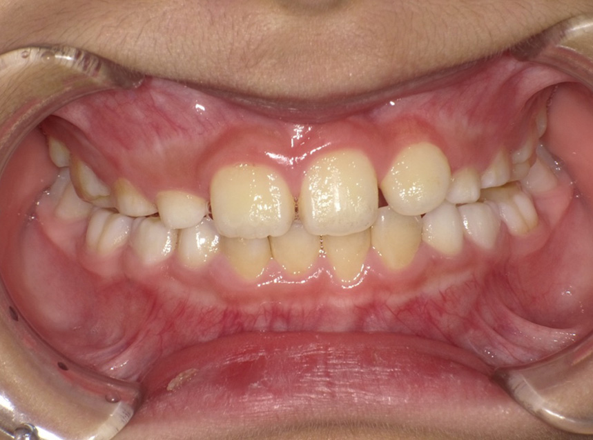
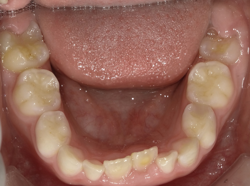
2年2ヶ月後

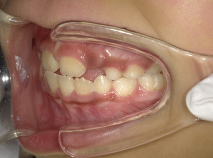
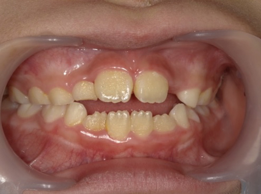
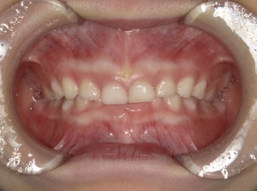
Before

1年1ヶ月後

2年2ヶ月後

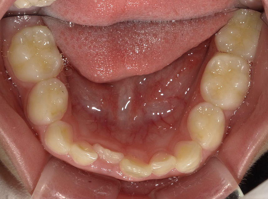
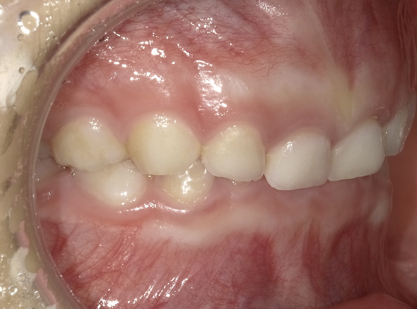
Before

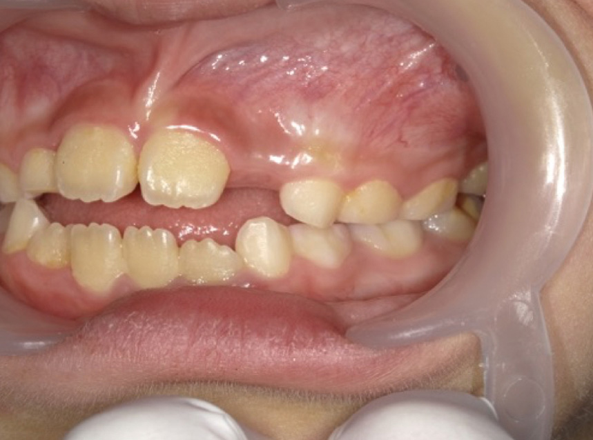
1年1ヶ月後

2年2ヶ月後

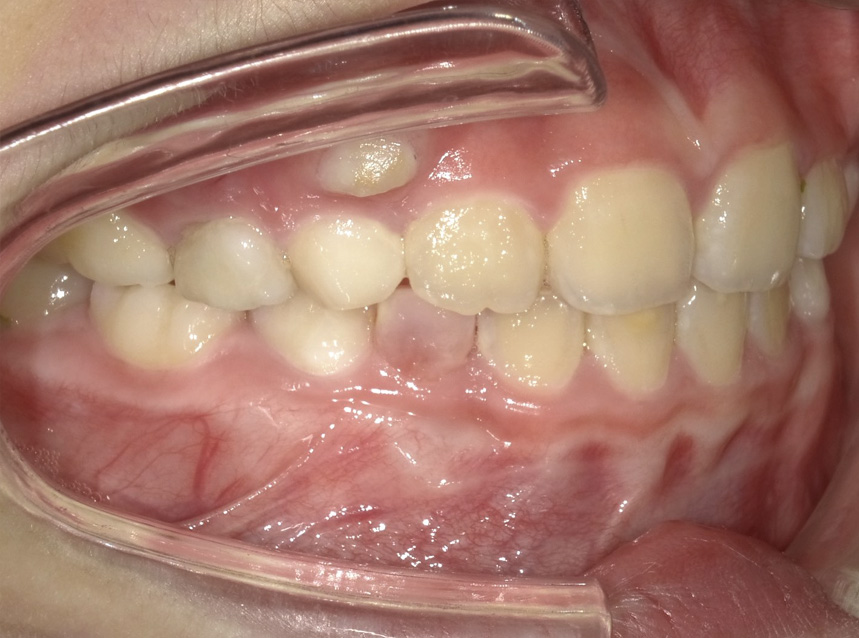
Before

1年1ヶ月後

Before

Before

1年1ヶ月後

2年2ヶ月後

- 初診時年齢・性別
- 8歳2ヶ月 女子
- 主訴
- 下前歯のガタつき
- 診断名
- 下顎前歯部叢生
- 治療内容
- MFT(筋機能療法)、BWS装置
- 治療期間
- 2年2ヶ月
- 注意点・リスクなど
- 特に無し
- 治療費用
- 29万円













これらの症状や習慣は、
口呼吸や舌の間違った癖が
原因になっている場合があります。
原因にはたらきかけて
「予防」する矯正治療です。


世界100ヶ国以上で使用されている機能的矯正装置「マイオブレース」は、
歯並びの改善だけではなく、勉学面の集中力の向上、免疫力の向上など、
全身の健康にもよい影響が期待できます。
ワイヤー矯正が取りはずしではなく24時間つけているのに比べ、小児矯正で使うマウスピースは1日、日中に一時間、夜間寝ている時、トレーニングの時に使用します。
マウスピースは、間違った癖や習慣を改善出来るようにデザインされています。
そのため、使用するマウスピースは、お子さまの年齢や顎の発育、お口の状態に合わせ歯科医師の指導のもと、使い分けていきます。
マウスピースの装着に加えて、マイオブレース・アクティビティーズと呼ばれる患者さま専用のプログラムを使って、歯や顎の正常な発達を妨げる口腔習癖をさらに正していきます。マイオブレース・アクティビティーズは、1日2回、マイオブレースを装着した状態で行うもので、呼吸、舌、飲み込み方、唇、頬のエクササイズです。


マウスピース+
アクティビティ
2つを組み合わせ、
続けることが大事

※治療を始める年齢やお口の状況により異なります。




顎が発達途中(乳歯列・混合歯列期)
で
習慣付けがしやすいこの時期だから
これらの効果が得られる
専用の

にぎやかな院内には矯正治療用のアクティビティルームのほか、セミナールームも完備!
明るく・楽しくお口について学ぶことができます。

小児矯正スタッフが在籍
「何をすればいいの?」「難しそう」
そんな疑問や不安にはマイオブレースについて専門的な知識を持つスタッフがお応えします!



治療を始める前に、カウンセリングでご要望をしっかりお聞きし、
治療にかかる費用・期間などを丁寧に説明しますのでご安心ください。

























































































| 特徴 | マウスピース |
|---|---|
| 見た目 | 透明で目立ちにくい |
| 痛み | ほとんどない ※装着直後は違和感や痛みが少しでる場合があります |
| 抜歯 | ほとんどの場合なし |
| 後戻り | ありません |
| 治療後のリテーナーの装着 | なし |
| トレーニング | 必要あり ※ご自宅と歯科医院、両方でのトレーニングが必要です |
| 治療中のお口ケア | 普段通り歯磨きできます ※装置は簡単に取り外しできます |
| 金属アレルギー | リスクなし ※金属は使用していません |
| 副次的効果 | ・姿勢が正しくなる ・舌の位置が正しくなる ・飲み込む機能の向上 ・鼻呼吸の確立 ・いびきの軽減 |
| 費用 | ワイヤー矯正と比較して安価 |